
×
Für eine zuverlässige Bestimmung ist meist eine Sicht auf die Innenseite (Gleba) nötig. Bitte schneidet eine gefunde Hypogäenart sauber durch und fotografiert sie bei Tageslicht.
Hydnotrya
5 Jahre 11 Monate her - 5 Jahre 11 Monate her #546
von Karin
Hallo,
wir waren in einem Douglasienwald, saurer Boden, 500m NN unterwegs. Fruchtkörper 0,5 -2 cm, beige bis rotbraun.
Gleba mit wenig Windungen, ähnlich wie Genea. Könnte das Hydnotrya confusa sein? Sporengröße 20-25µm - 30-37µm.
Ascigröße 25-32,5 -105-135µm. Geruch süßlich, aber eher unangenehm.
Liebe Grüße
Karin
wir waren in einem Douglasienwald, saurer Boden, 500m NN unterwegs. Fruchtkörper 0,5 -2 cm, beige bis rotbraun.
Gleba mit wenig Windungen, ähnlich wie Genea. Könnte das Hydnotrya confusa sein? Sporengröße 20-25µm - 30-37µm.
Ascigröße 25-32,5 -105-135µm. Geruch süßlich, aber eher unangenehm.
Liebe Grüße
Karin
Letzte Änderung: 5 Jahre 11 Monate her von Karin.
Bitte Anmelden oder Registrieren um der Konversation beizutreten.
5 Jahre 11 Monate her #547
von Karin
Bitte Anmelden oder Registrieren um der Konversation beizutreten.
5 Jahre 11 Monate her #548
von Karin
Bitte Anmelden oder Registrieren um der Konversation beizutreten.
5 Jahre 11 Monate her #549
von Peter
Hallo Karin,
es ist wirklich schwer zu sagen, welche Hydnotrya es ist.
Ich weiß noch, dass H. confusa eine vertikale Streifung aufweist. Und ich erinnere mich, dass das verdammt schwer zu sehen war.
Das hier kennst du? ascomycete.org/Portals/0/Archives/Ascomy...%2003-03%2055-60.pdf
Du kannst mir auch gerne was zusenden.
Freundliche Grüße
Peter
es ist wirklich schwer zu sagen, welche Hydnotrya es ist.
Ich weiß noch, dass H. confusa eine vertikale Streifung aufweist. Und ich erinnere mich, dass das verdammt schwer zu sehen war.
Das hier kennst du? ascomycete.org/Portals/0/Archives/Ascomy...%2003-03%2055-60.pdf
Du kannst mir auch gerne was zusenden.
Freundliche Grüße
Peter
Bitte Anmelden oder Registrieren um der Konversation beizutreten.
5 Jahre 11 Monate her #555
von Peter
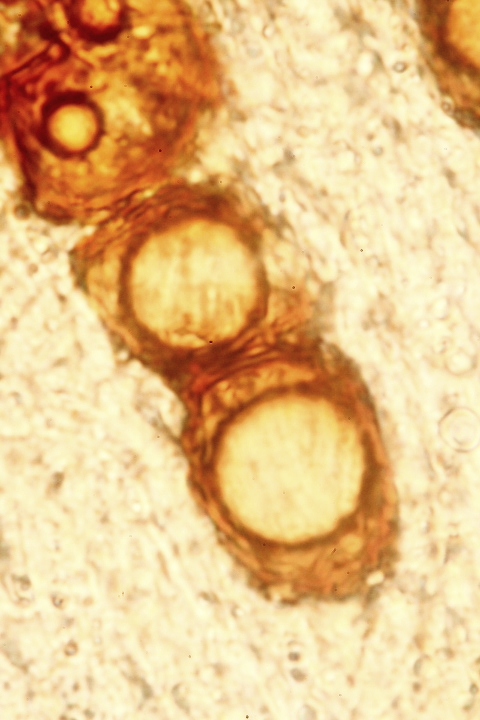
Hallo Karin,
die Streifung bezieht sich auf die Sporenornamente von H. confusa.
Im optischen Schnitt sind die Ornamante radial gestreift. Ich gebe zu, dass man das nur selten so schön darstellen kann. Ich habe sehr lange gesucht, bis ich passende Sporen fand, an denen man es richtig sieht.
Freundliche Grüße
Peter
die Streifung bezieht sich auf die Sporenornamente von H. confusa.
Im optischen Schnitt sind die Ornamante radial gestreift. Ich gebe zu, dass man das nur selten so schön darstellen kann. Ich habe sehr lange gesucht, bis ich passende Sporen fand, an denen man es richtig sieht.
Freundliche Grüße
Peter
Bitte Anmelden oder Registrieren um der Konversation beizutreten.
Ladezeit der Seite: 0.640 Sekunden
- Aktuelle Seite:
-
Startseite
-
Forum
-
Trüffelforum
-
Bestimmungsfragen
- Hydnotrya